Implantologija


Da bi se upoznali sa kompletnim načinom rada i razmišljanja o implantologiji možete pogledati intervju koji je primarijus Dr Branislav Stojanović dao u emisiji Studio B život punim plućima.

U „Implant Centru Stojanović“ se rešava 98 posto najkomplikovanijih slučajeva u implatologiji, radimo bez komplikovanih dodatnih hirurških procedura (sinus lift procedura) i rešavamo sve implantološke slučajeve sa FIKSNIM PROTETSKIM RADOVIMA. Ne podržavamo i smatramo kao loše rešenje za pacijenta ALL ON 4 proceduru, jer na ovaj način štitimo pacijenta da ne nosi ponovo protezu koja je samo čvršća. Problemi koji nastaju kod ALL ON 4 procedure su mnogo češći nego kod fiksnih protetskih radova. Ove tvrdnje nisu zasnovane na podacima iz literature već na osnovu dvadesetčetvorogodišnjeg iskustva u implantologiji.

Razlikujemo se od ostalih zato što uživamo poverenje pacijenta i to poverenje težimo da očuvamo. Pacijenta štitimo iskustvom, stručnošću, i stalnim usavršavanjem u struci. Mi imamo osnova da objavimo statistike uspešnosti koja je viša od svetske, i naši radovi govore o tome. Procenu uspešnosti mogu dati samo oni koji imaju svoju statistiku na desetogodišnjem nivou, a za takvu procenu je potrebno iskustvo od najmanje 15 godina. Procena data bez takve analize je neozbiljna i neutemeljena na realnim osnovama.

Radi informisanosti pacijenata implanti sistem koji mi primenjujemo je JD Evolution.


Kod nas se obavljaju najkompleksnije procedure iz implantologije i implantološke protetike kao i u vrhunskim modernim i naprednim svetskim centrima:

- Ugradnja implantata sa suprastrukturom (nadgradnjom)

- Tuber-pterigoidni implantat kao ZAMENA ZA SINUS LIFT PROCEDURU

- Oralna hirirugija (SVE VRSTE ORALNO-HIRURŠKIH INTERVENCIJA)

- Parodontološka hirurgija

- Stomatološka protetika

- Stomatološka protetika na implantatima

- Bezmetalna keramika

- Estetska stomatologija

Šta je dobar implantolog?

Dobar implantolog je onaj koji ima znanja i iskustva da proceni kompletno pacijentovo stanje, stanje vilične kosti i preostalih zuba i da na osnovu tih parametara da najbolji i najracionalniji predlog pacijentu za rešavanje tog stanja. Pacijentu je potrebno uliti poverenje svojim stručnim znanjem, a onda ga i opravdati radom. Svaku situaciju bi trebalo predstaviti realno, bez veličanja ka pozitivnoj ili negativnoj strani. Pacijenta nikada ne bi trebalo obeshrabriti, i uvek je potrebno naći rešenje za njegov problem. Dobar implantolog je implantolog na delu!

Gde poslujemo?

Implant Centar Stojanović vodi Primarijus dr. Branislav Stojanović na adresi Gaudijeva 4, Beograd. Primarijus dr. Branislav Stojanović je prepoznatiljivo ime u implantologiji Srbije.

Implantologija

Dentalna implantologija obuhvata hirurške procedure koje imaju za cilj funkcionalnu rehabilitaciju pacijenata upotrebom dentalnih implantata, odnosno metalnih elemenata koji se hirurški ugrađuju u gornju i donju vilicu.
Implantati mogu da imaju različiti oblik, mogu da se ugrade u različitim pozicijama i različitim tehnikama. Trenutno se većina implantata izrađuje od titanijuma.







Prednosti ugradnje implantata:

Dobra estetska i funkcionalna stabilnost Brzo privikavanje na nošenje protetskog rada Jednostavnost ugradnje Brža rehabilitacija i mogućnost ranog opterećenja ako je postignuta i očuvana primarna stabilnost u periodu od 2 do 4 nedelje Tehnički jednostavniji način izrade fiksnog rada u odnosu na izradu vizil proteze sa drikerima, teleskop navlakama i namenskim krunama Mogućnost bolje higijene, kao i psihosocijalne sigurnosti Profilaktičko i terapeutsko delovanje na parodoncijum prirodnih zuba Ekonomska opravdanost zbog dužine trajanja zuba

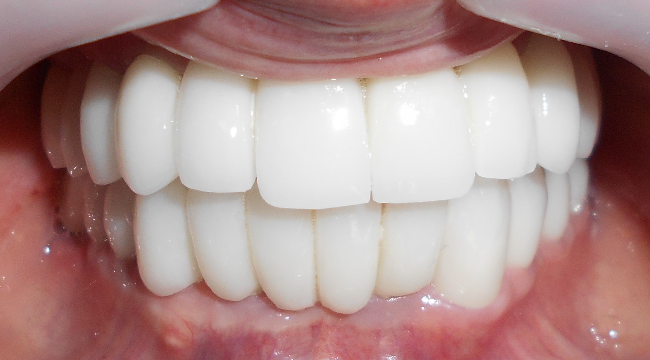
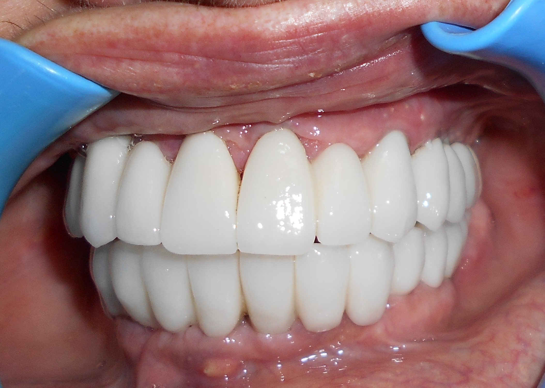
Dentalni implantati će vam omogućiti:

zubni implanti
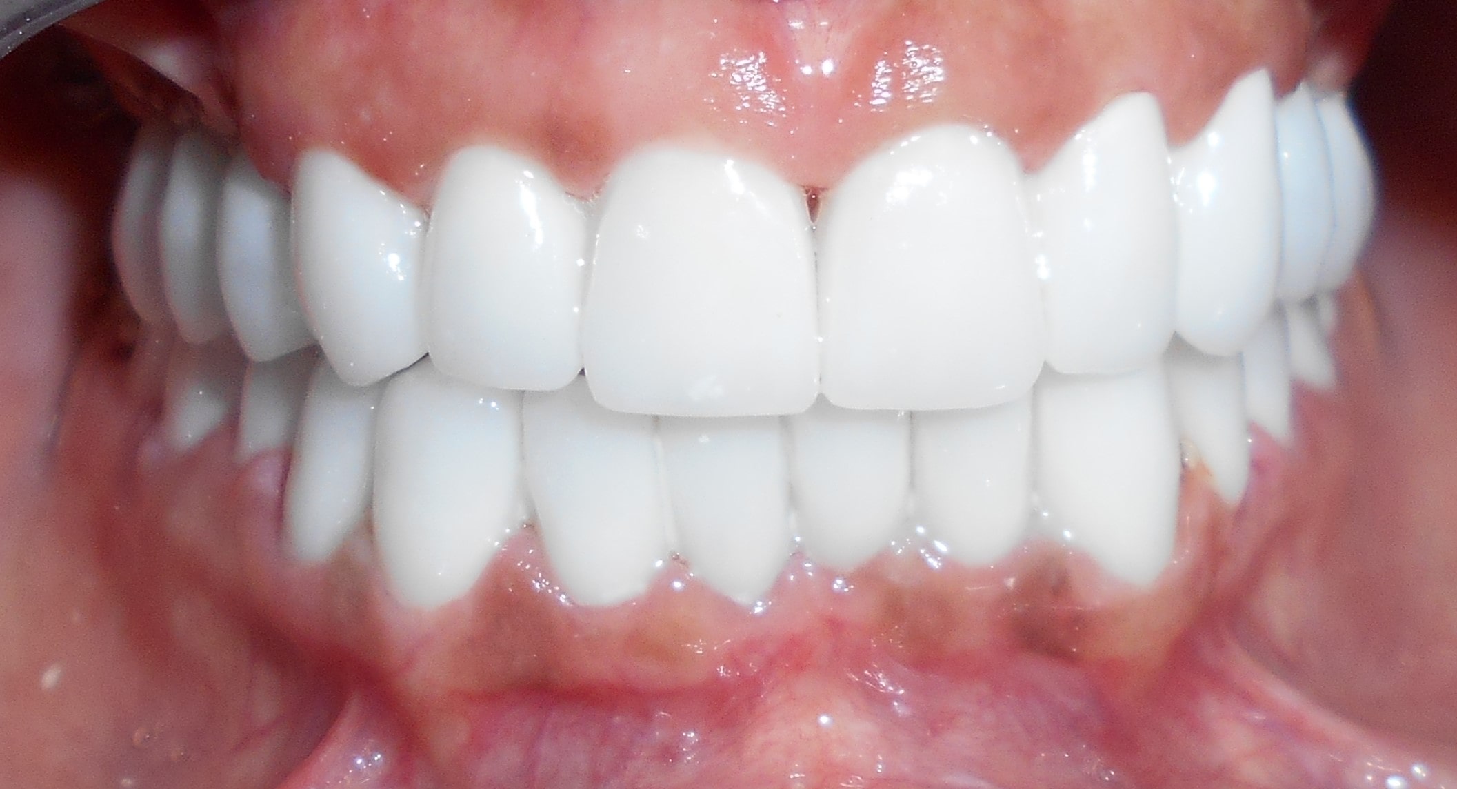
Da se nasmejete sa samopouzdanjem
zubni implanti
Da jedete šta god poželite i na bilo kom mestu koje vam je prijatno
zubni implanti
Pričate i smejete se bez neprijatnosti

zubni implanti

Cilja nam je da

Pružimo sigurnost koja se bazira na znanju i iskustvu koje posedujemo.


Uspešnost implantata Prim. dr Branislava Stojanovića od početka rada u implantologiji 1997. godine do 2014. godine, iznosi u protetskoj fazi 98% za donju vilicu, i 96% za gornju vilicu, praćeno i statistički obrađeno na desetogodišnjem nivou.
Radili smo sa više implantacijskih sistema i nismo imali značajno odstupanje u procentu uspešnosti što je objavljeno u našim stručnim radovima.

Uspešnost implantata ne zavisi diretkno od proizvođača i firmi koje se agresivno Uspešnost implantata ne zavisi diretkno od proizvođača i firmi koje se agresivno reklamiraju, već prvenstveno zavisi od tipa, kvaliteta i kvantiteta kosti, navoja implantata, a jedan od najvažnijih uslova je procena i iskustvo implantologa, kao i tehnika ugradnje.

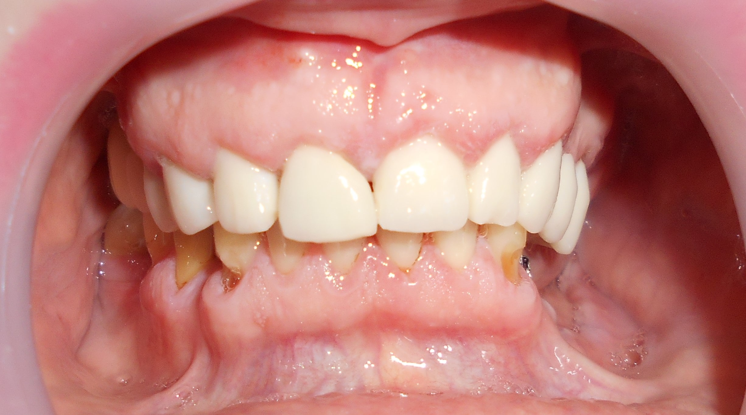
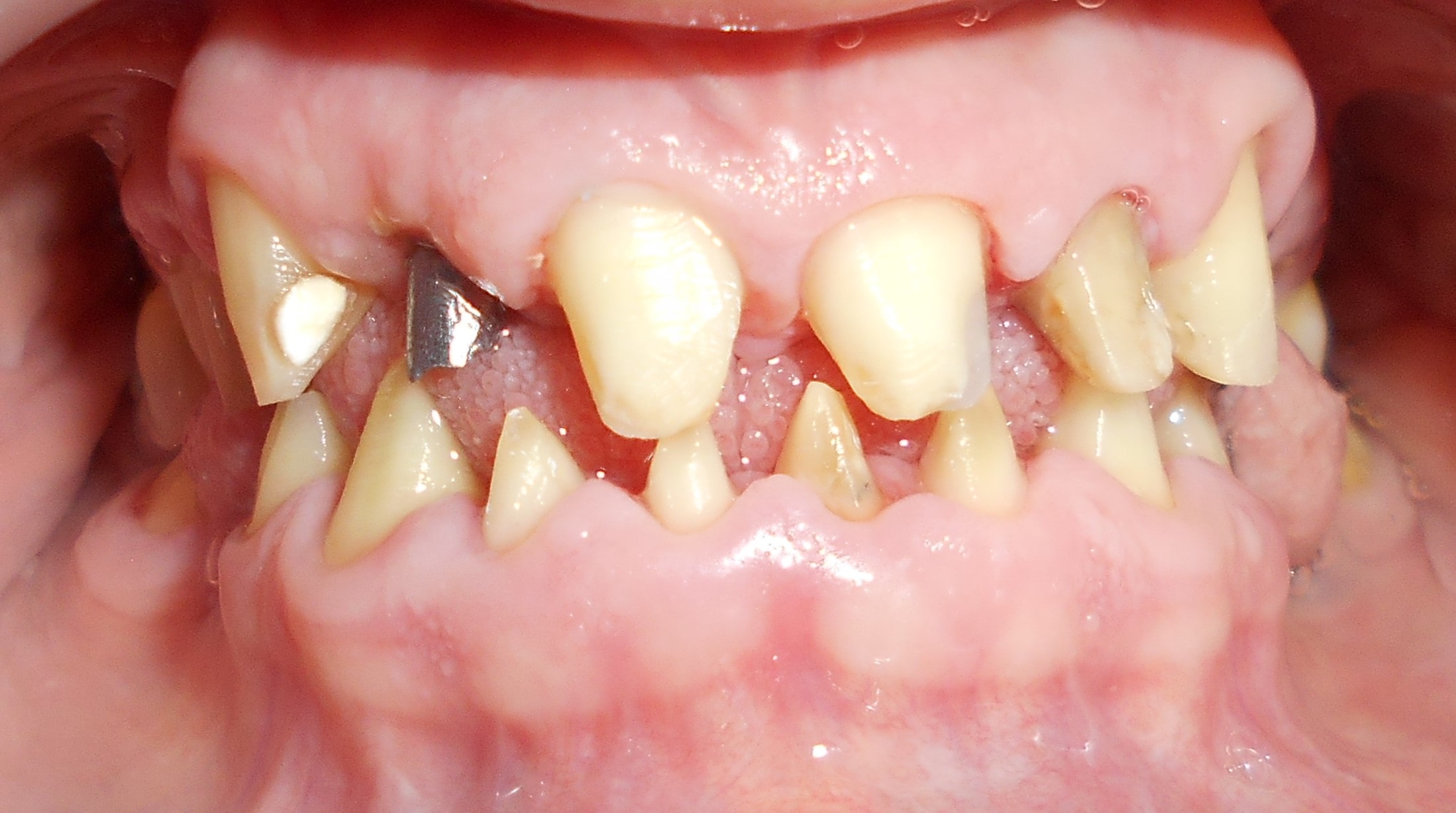
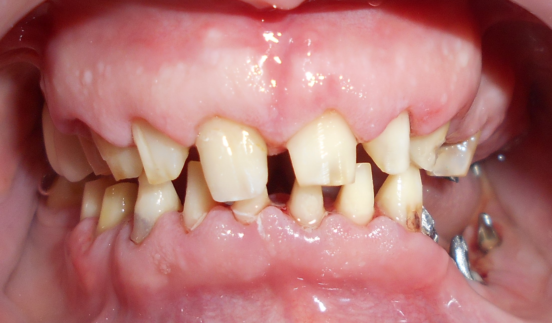
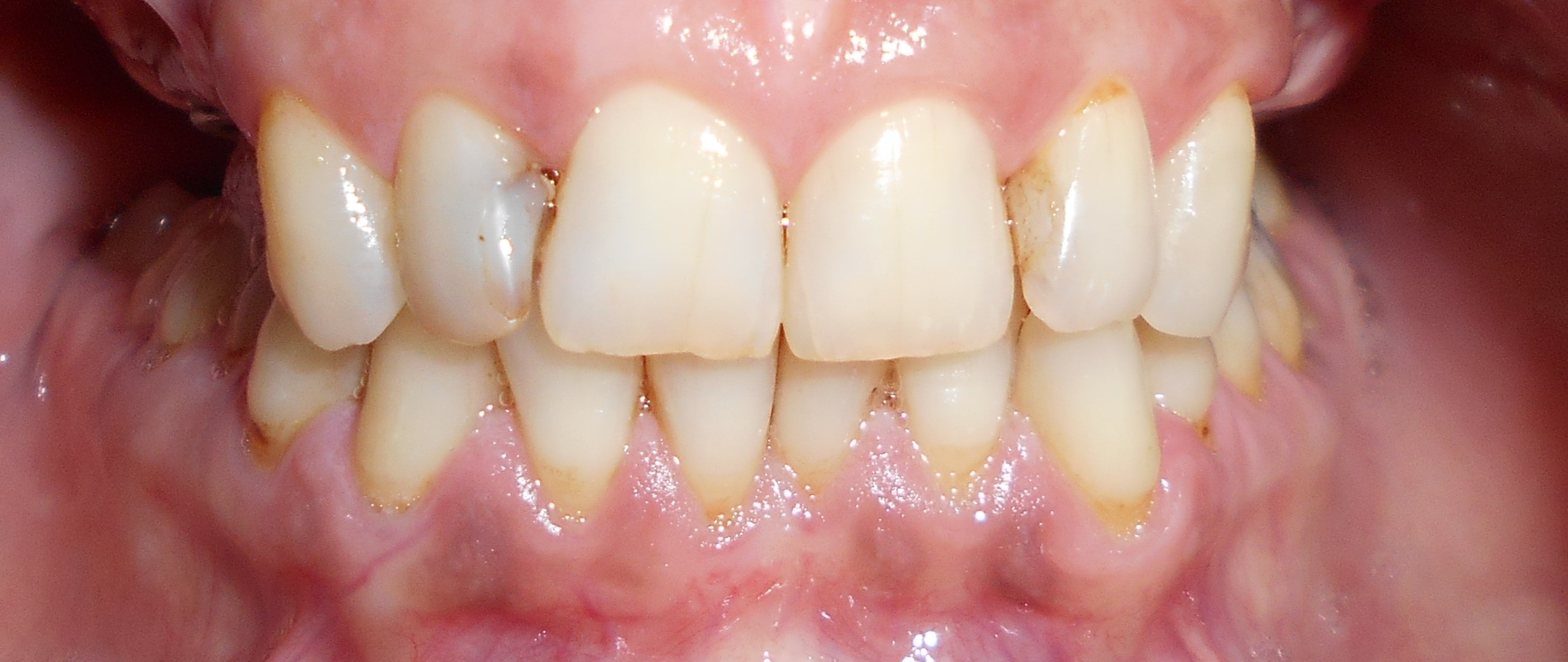
Ukoliko ste izgubili jedan ili više zuba i izbegavate da se nasmejete, ili čak i da jedete na javnom mestu zbog straha da može da vam ispadne proteza, trebalo bi da razmislite o ugradnji implantata. Bez obzira koliko zuba vam nedostaje.

Ako nosite totalnu ili parcijalnu protezu skidanje i odlaganje u čaši u toku noći može biti nepraktično i neprijatno, što je razlog više da razmislite o ugradnji implantata.

ugradnja zuba
Istraživanje je obuhvatilo 34 pacijenata u starosnoj dobi od 38 do 78 godina, kontrolisano i praćeno 4 godine.

Uspešnost implantata u posthirurškoj fazi je bila 96%. Parametri uspešnosti su bili stabilnost, resorpcija kosti oko implantata i promene na mekim tkivima. (Zaključak iz rada Opterećenje šraf-cilindričnih implantata u periodu od 2 do 4 nedelje nakon ugradnje, Stomatolog broj 69/2002. godine, Dr Branislav Stojanović, specijalista oralne hirurgije i implantologije).

Na osnovu našeg iskustva, zaključili smo da ne mora da postoji strogo definisan vremenski period za opeterećenje implantata od njegove ugradnje. Ovaj period najpre zavisi od uslova za implantaciju, tipa i kvaliteta kosti i veštine i umešnosti lekara koji vrši implantaciju i izgrađuje zubne nadoknade. Nadamo se da smo ohrabrili buduće implantologe i da smo pružili osnovne informacije onima koji se neće baviti implantologijom. Pacijentima treba dati informaciju i pružiti mogućnost, a oni će izabrati. Implantologija je realnost, ona je sadašnjost a najviše budućnost (Zaključak iz rada Opterećenje šraf-cilindričnih implantata u periodu od 2 do 4 nedelje nakon ugradnje, Stomatolog broj 69/2002. godine, Dr Branislav Stojanović, specijalista oralne hirurgije i implantologije).


O nama

zubni implanti

Osnivač centra za implantologiju (Implant Centar Stojanović) – prim. Dr Branislav Stojanović je završio Stomatološki fakultet u Sarajevu 1980-te godine, a srednju zubotehničku školu u Prištini 1974. godine. Svoje radno iskustvo započeo je 1981. godine u Domu zdravlja Sarajevo kao stomatolog opšte stomatologije gde je radio u radnoj službi dečje stomatologije, a kasnije u službi stomatološke protetike. U domu zdravlja Sarajevo radio je sve do aprila 1992. godine.


Stomatološku ordinaciju Dr Branislav Stojanović osniva 1992. godine sa sedištem u Beogradu. Ordinacija je počela sa radom kao centar za protetiku i estetsku stomatologiju, a od 1997. godine počinje intenzivno sa oralno hirurškim i implantološkim intervencijama. Specijalizaciju iz oralne hirurgije završio je 2000-te godine na Stomatološkom fakultetu Univerziteta u Beogradu.


ZAŠTO NE ALL-ON-4 I ŠTA JE ALL-ON-4?



U Implant Centru Stojanović se rešava 98 posto najkomplikovanijih slučajeva u implatologiji, za nas nema nerešivih slučajeva implantološkog zbrinjavanja, radimo bez komplikovanih dodatnih hirurških procedura (sinus lift procedura) koje zamenjujemo ugradnjom tuberopterigoidnih implantata. Rešavamo sve implantološke slučajeve sa FIKSNIM PROTETSKIM RADOVIMA. Ne podržavamo i smatramo kao loše rešenje za pacijenta, ALL ON 4 proceduru, jer na ovaj način štitimo pacijenta da ne nosi ponovo protezu koja je samo čvršća. Problemi koji nastaju kod ALL ON 4 procedure su mnogo češći nego kod fiksnih protetskih radova. Ove tvrdnje nisu zasnovane na podacima iz literature već na osnovu dvadesetpetogodišnjeg iskustva u implantologiji.



Smatramo  da se All –on-4 protetski sistem na Zapadu neopravdano favorizuje.Favorizacija ove procedure je isključivo zbog materijalne dobiti od strane stomatologa.



Naši pacijenti

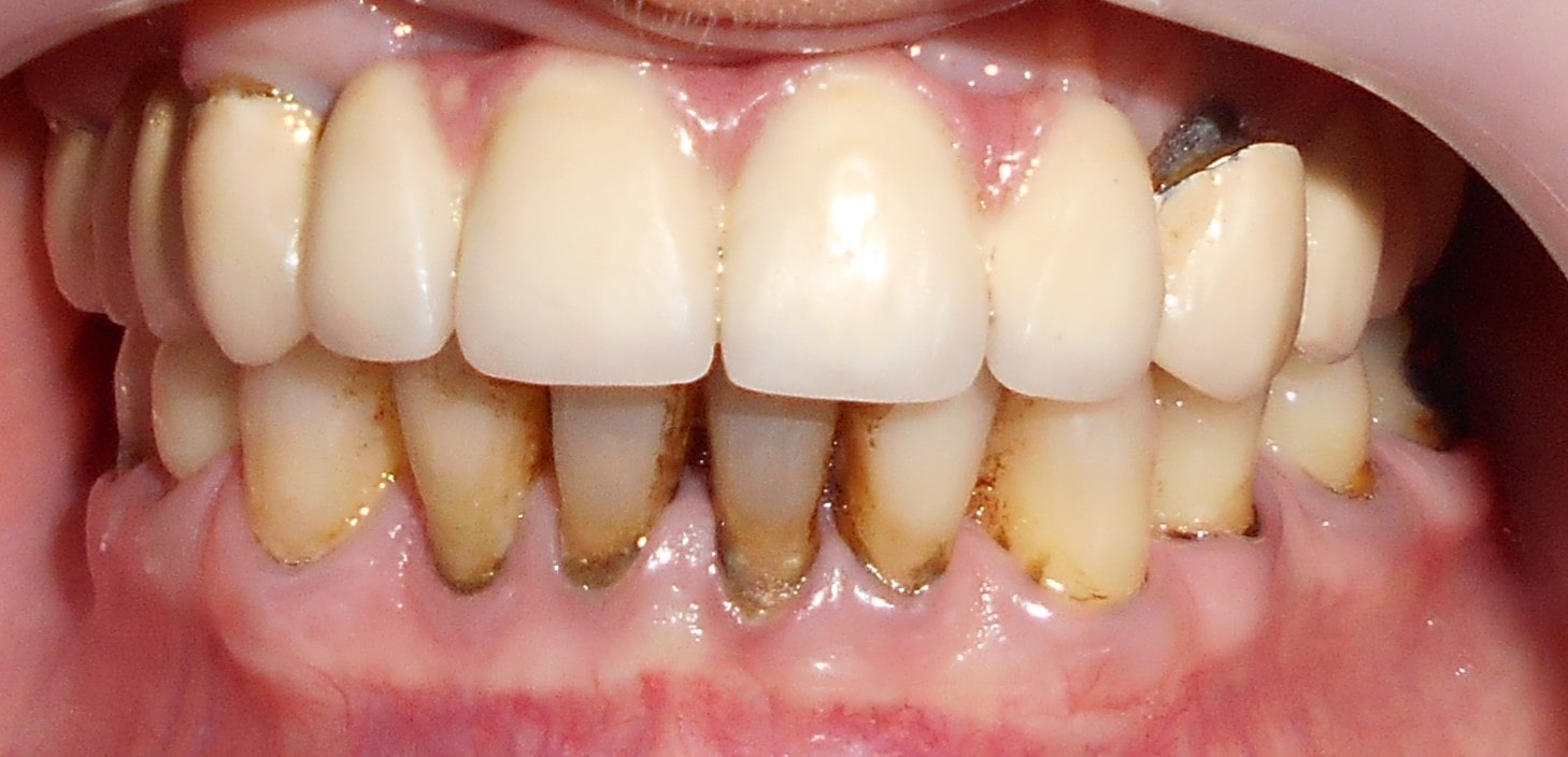
Pacijent 1

Pacijent iz Nemačke, kod koga smo estetsko i funkcionalno zbrinjavanje rešili cirkonijum keramičkim krunicama sa ugradnjom kratkih implantata u donjoj vilici zbog smanjene visine kosti, a u gornjoj vilici na levoj strani odmah nakon vađenja zuba je ugrađen standardni implantata na mesto izvađenog zuba i ugrađen je tuberopterigoidni implantat da se ne bi radila komplikovana sinus lift procedura koja bi produžila vreme završetka rada na godinu i više dana. Rad uspešno završen i pacijent nema nikakvih problema već pet godina.

Pacijent 2

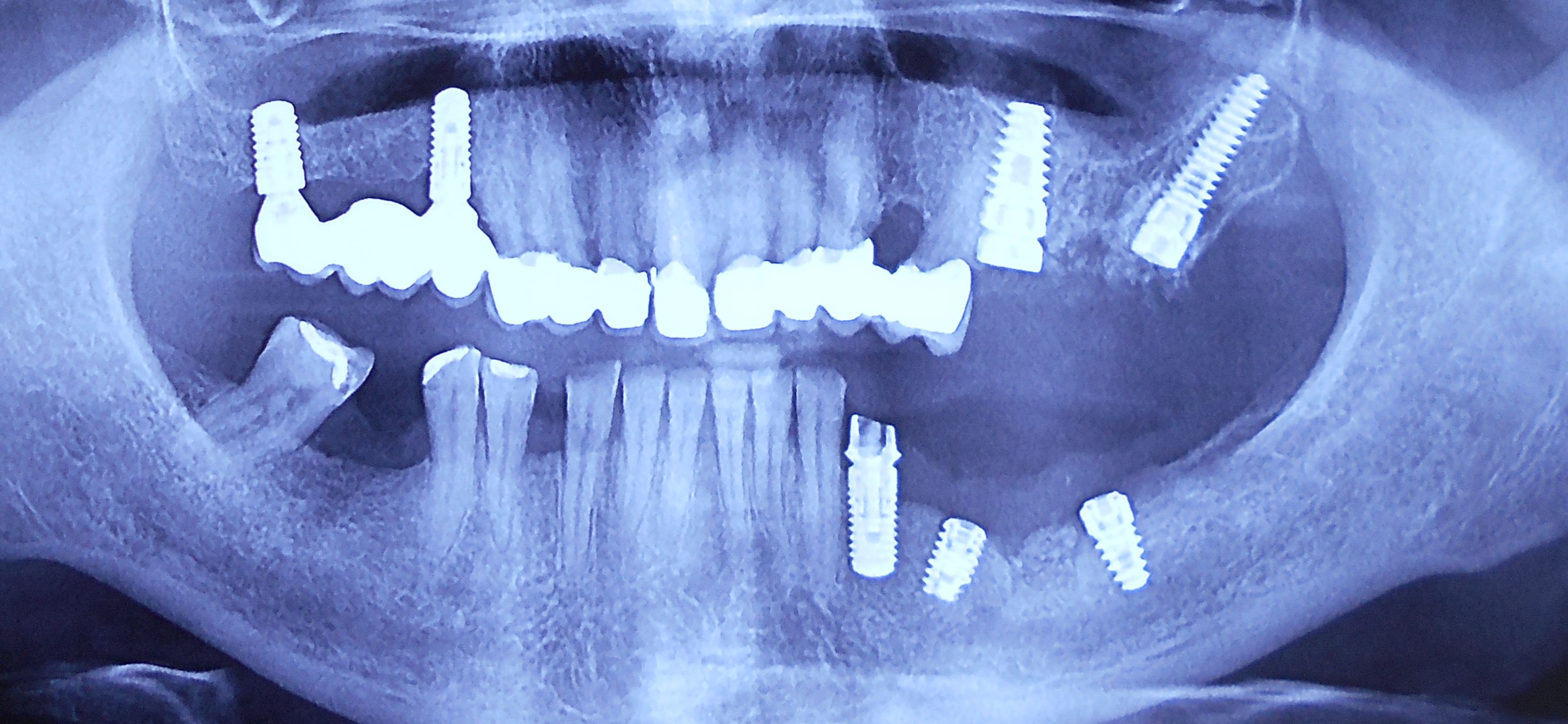
Pacijent sa obe strane gornje vilice je bio bezub, sa minimalnom horizonatlnom i vertikalnom visinom kosti kao i sa spuštenim sinusom. Nakon dužeg traženja rešenja za svoj slučaj u drugim ordinacijama da bi izbegao komplikovanu sinus lift proceduru prihvatio je naš predlog da se ugrade po tri implantata sa obe strane gornje vilice od kojih su dva tuperopterigoidna implanta, koji su rešili problem spuštenog sinuasa sa minimalnom traumom prilikom ugradnje. Slučaj rađen pre četiri godine. Na poslednjoj kontroli izgleda besprekorno.

Pacijent 3

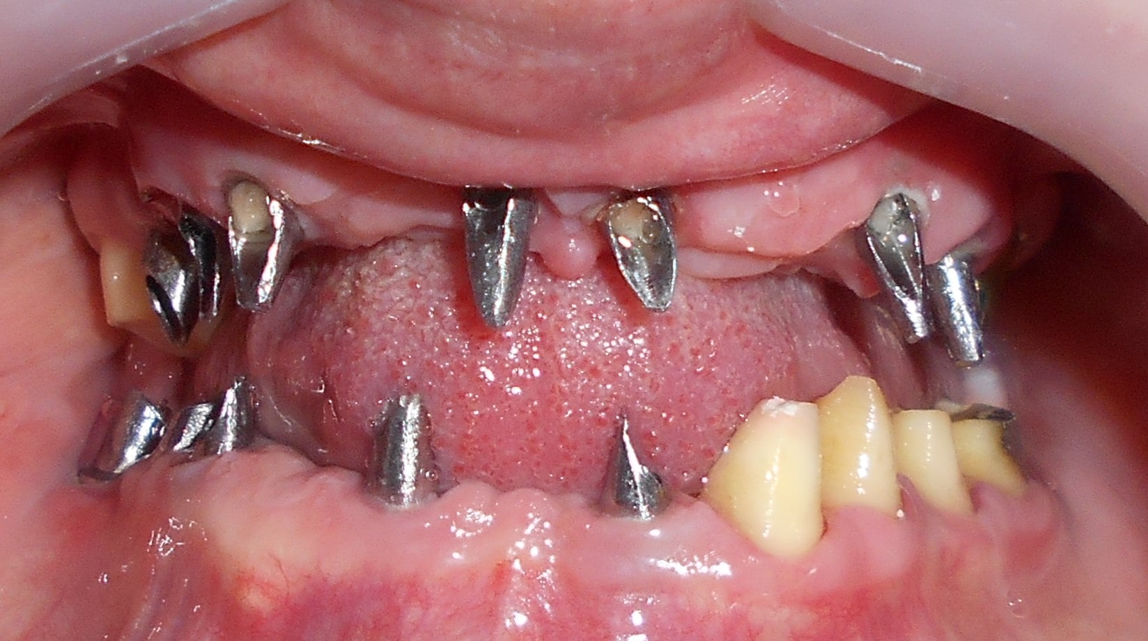
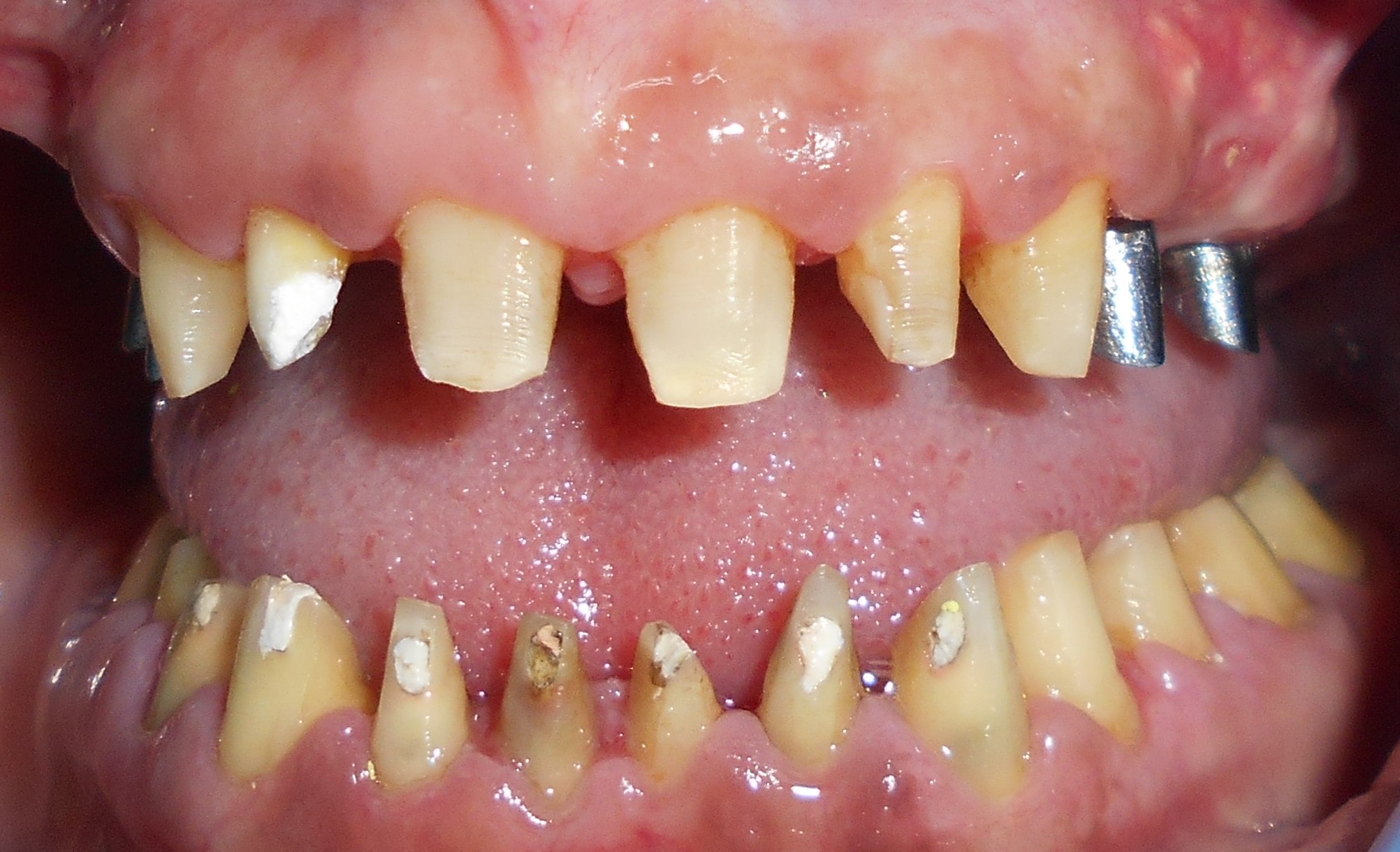
Pacijent dolazi sa starim mostovima i izraženom parodontopatijom u donjoj vilici. Urađeno je skidanje postojećih mostova i istovremena ekstrakcija svih parodontopatičhin zuba uz ugradnju sedam implantata u gornjoj vilici i pet implantata u donjoj vilici. Pacijent je nakon tri dana bio privremneo protetski zbrinut sa fiksnim privremeni krunicama koje su fiksirane na tek ugrađenim implantaima. Nakon četiri meseca je izrađen fiksni cirkonijum kermički- bezmetalni most u gornjoj i donjoj vilici. Rad uspešno završen pre tri godine.

Pacijent 4

Pacijent iz inostranstva doalzi sa totalnom protezom u gornjoj vilici i sa uznapredovalom parodontopatijom preostalih zuba u donjoj vilici. Pacijent navodi da su mu u inostranstvu rekli da je nemoguće u gornjoj vilici ugraditi implantate bez velikih hirurških zahvata koji podrazumevaju transplantaciju kosti sa udaljenih delova tela i sinus lift proceduru. U gronjoj vilici je bila minimalna količina kosti sa izraženo spuštenim sinusima i sa minimalno vretikalnom i horizontalnom visinom kosti. Naše rešenje se sastojalo u sledećem: ugradnja deset implantata u gornjoj vilici u raspoloživu kost sa ugrdnjom veće količine veštačke kosti, od deset ugrađenih implanta dva implantata su tuberopterigoidna koji su zamenili sinus lift proceduru. U gornjoj vilici smo se opredelili za ugradnju većeg broja implantata kako bi prilikom izrade fiksnog protetskog rada dobili ravnomeran prenos pritiska žvakanja na implantate. U donjoj vilici intervencija je bila istovremena i ona je podrzumevala vađenje svih preostalih zuba i ugradnju osam implantata. Kompletno zbrinjavanje koje obuhvata hiruršku i protetsku fazu je trajalo tri meseca, tokom kojih je pacijent u gornjoj vilici bio zbrinut sa privremenom totalnom protezom, a u donjoj vilici sa fiksnim privremenim zubima koji su bili fiksirani na tek ugrađenim implantatima. Definitivni protetski rad je uspešno završen sa cirkonijum keramičkim - bezmetalnim mostovim pre četiri godine.

Pacijent 5

Pacijent kod koga je rađena kombinacija rešavanja bezubih prostora sa ugradnjom implantata, a nakon tri meseca kompletno rešavanje sa cirkonijum keramičkim -bezmetalnim krunica i mostovima.